 
          产品简介
2×Multiplex PCR StarMix (UNG) 是基于热启动抗干扰 Taq DNA 聚合酶开发的即用型多重 PCR 预混试剂。本产品具有极高的扩增效率和检测灵敏度;多重 PCR 扩增偏好性低,在获得极高产量的同时保持多重扩增均一性;含有 dUTP/UNG 防污染系统,可有效防止 PCR 气溶胶污染。本产品适用于以 DNA 为模板的多重 PCR 扩增、病原体的检测和分型、分子杂交检测等。
本品为无色 2× 预混液,不含 DNA 上样缓冲液和染料。在多重 PCR 反应完成后,需添加 DNA 上样缓冲液后进行电泳。
产品组分
| 组分货号 | 组分名称 | A092-01 | A092-10 | 
|---|---|---|---|
| ZA092-101 | 2×Multiplex PCR StarMix (UNG) | 1 ml | 1 ml×10 | 
| ZA129-101 | Sterile Water | 1 ml | 1 ml×10 | 
保存条件
-20℃ 保存,保质期 24 个月,避免反复冻融。
数据展示
1.优异的灵敏度
以 Human 基因组为模板,同时扩增 19 个目的片段。结果显示,A099 最低检测限可达 0.1 ng,不会出现条带丢失且条带清晰优于 Com V

2.超高的扩增效率
以 Human 基因组为模板,扩增 2~19 重目的片段(50-1028 bp)。结果显示,所有目的片段都清晰可见,A099 可在同一反应中扩增多达 19 个目的片段,且扩增效率和条带清晰度均优于 Com V

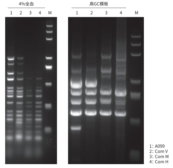
3.兼容全血直扩和高 GC 模板

说明:A092 相较 A099 添加了 UNG 防污染体系,故 A099 数据也适用于 A092。
相关产品推荐
 
        
       
    请按照实际实验情况进行使用,如有疑问,请联系您的业务员或致电技术支持热线400-666-3332拨2